Pred okoli dvema tednoma, na predvečer Onama, največjega praznika v indijski zvezni državi Kerala, je 45-letna Sobhana na zadnjem sedežu reševalnega vozila izgubljala zavest, medtem ko so jo peljali v univerzitetno bolnišnico.
Le nekaj dni prej se je prodajalka kruha in sadnih sokov pritoževala zgolj nad omotico in visokim krvnim tlakom. Zdravniki so ji predpisali tablete in jo poslali domov. Toda njeno stanje se je hitro slabšalo: nelagodje je preraslo v vročino, ta v hudo mrzlico. Na glavni dan praznika je Sobhana umrla.
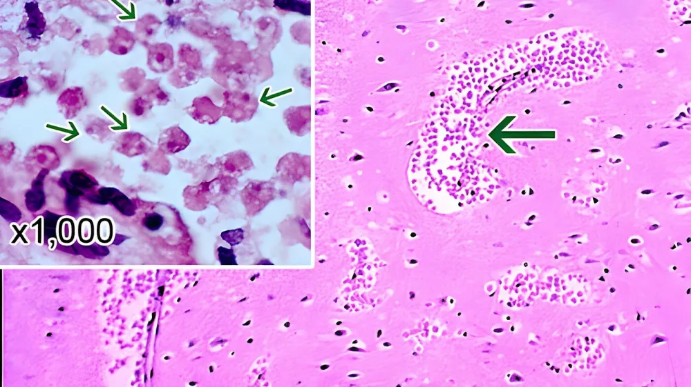
Ameba, ki požira možgane
Vzrok: Naegleria fowleri, splošno znana kot »ameba, ki požira možgane«. Redka okužba, ki se običajno prenaša skozi nos ob stiku s sladko vodo. Tako redka je, da večina zdravnikov v vsej svoji karieri ne naleti na niti en primer. »Bili smo nemočni. Za bolezen smo izvedeli šele po Sobhanini smrti,« pravi njena sestrična Ajitha Kathiradath, sicer socialna delavka.
V Kerali so letos diagnosticirali več kot 70 primerov okužbe s to amebo, 19 bolnikov je umrlo. Žrtve so bile stare od treh mesecev do 92 let.
Gre za enocelični organizem, ki se sicer hrani z bakterijami v topli sladki vodi, a pri človeku povzroči skoraj vedno smrtni primarni amebni meningoencefalitis. Med plavanjem lahko skozi nos vstopi v telo in hitro uniči možgansko tkivo.
Prvi primeri v Kerali so bili zabeleženi leta 2016 – le eden ali dva na leto – in skoraj vsi so se končali s smrtjo. Globalno je bilo od leta 1962 zabeleženih le 488 primerov (največ v ZDA, Pakistanu in Avstraliji), pri čemer je 95 odstotkov bolnikov umrlo, še navaja BBC.
Smrtnost vse manjša
Toda v Kerali se kaže napredek: lani je bilo 39 primerov z 23-odstotno smrtnostjo, letos skoraj 70 primerov s 24,5-odstotno smrtnostjo. Zdravniki pojasnjujejo, da porast števila primerov odraža boljše odkrivanje, saj so laboratoriji v državi danes sodobnejši.
»Primerov je več, a smrtnost upada. Intenzivno testiranje in zgodnja diagnostika sta izboljšala preživetje – to je pristop, ki je za Keralo edinstven,« pravi Aravind Reghukumar, predstojnik oddelka za nalezljive bolezni na medicinski fakulteti. Zgodnje odkrivanje omogoča zdravljenje s kombinacijo protimikrobnih zdravil in steroidov, ki ciljajo na amebo in lahko rešijo življenje.
Znanih je okoli 400 vrst prostoživečih ameb, a le šest jih povzroča bolezni pri ljudeh – med njimi Naegleria fowleri in Acanthamoeba. Zdravstveni laboratoriji v Kerali zdaj lahko odkrivajo pet glavnih patogenih vrst.
Številni onesnaženi vodnjaki
Kerala je zaradi močne odvisnosti od podtalnice in naravnih vodnih teles še posebej ranljiva. V državi je skoraj 5,5 milijona vodnjakov in 55.000 ribnikov, številni so onesnaženi. Lani je bila denimo skupina primerov povezana z mladeniči, ki so kadili konopljo, kuhano v vodi iz ribnika – tvegan poskus, ki je pokazal, kako nevarna je lahko okužena voda.
Zdravstvene oblasti so konec avgusta v eni sami akciji klorirale 2,7 milijona vodnjakov, okoli ribnikov pa so postavili opozorilne table, ki prepovedujejo plavanje. A ribnikov realno ni mogoče razkuževati, saj bi ribe poginile, prav tako ni možno obvladovati vseh vodnih virov v državi z več kot 30 milijoni prebivalcev.
Zato zdaj pristojni stavijo predvsem na ozaveščanje: gospodinjstvom svetujejo čiščenje rezervoarjev, uporabo čiste tople vode za izpiranje nosu, izogibanje nevarnim ribnikom in zaščito nosu pri plavanju.
Vedno večja nevarnost
Vendar je ravnovesje med opozarjanjem na tveganja in izogibanjem paniki zahtevno. »V nadzorovanih okoljih, kot so bazeni, lahko ustrezno kloriranje znatno zmanjša tveganje. V naravnih vodnih telesih pa nevarnosti ni mogoče popolnoma izključiti,« opozarja Dennis Kyle, profesor nalezljivih bolezni na Univerzi v ameriški Georgii.
Znanstveniki dodajajo, da podnebne spremembe povečujejo nevarnost okužbe: toplejše vode, daljša poletja in višje temperature ustvarjajo idealne pogoje za amebo. Že dvig temperature za eno samo stopinjo lahko pospeši njeno širjenje v tropskem podnebju.